Friday, 14 September 2012

LEUKEMIA

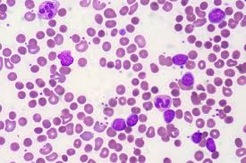
The term leukemia refers to a group of red bone marrow cancers in which abnormal white blood cells multiply uncontrollably. The accumulation of the white cancerous white blood cells in red bone marrow interferes with the production of red blood cells, white blood cells, and platelets. As a result of oxygen-carrying capacity of the blood is reduced, an individual is more susceptible to infection, and blood clotting is abnormal. In most leukemias, the cancerous white blood cells spread to the lymph nodes, liver, and spleen, causing them to enlarge. All leukemias produce the usual symptoms of anemia (fatigue, intolerance of cold, and pale skin). In addition, weight loss, fever, night sweats, excessive bleeding, and recurrent infections may occur.


In general, leukemias are classified as acute (symptoms develop rapidly) and chronic (symptoms may take years to develop). Adults may have either types, but children usually have the acute type.
The cause of most types of leukemia is unknown. However, certain risk factors have been implicated. These include exposure to radiation or chemotherapy for other cancers, genetics (some genetic disorders such as Down syndrome), environmental factors (smoking and benzene), and microbes such as the human T cell leukemia-lymphoma virus-1 (HTLV-1) and the Epstein-Barr virus.
Treatment options include chemotherapy, radiation, stem cell transplantation, interferon, antibodies, and blood transfusion.

1 comment:

Joyce Hillary said...

Hello everyone, i'm Linda Harry from United State i was diagnosed with Parkinson Disease  for over 6 years which made me loose my job and my relationship with my Fiance after he discovered that i was having Parkinson, he departed from me, and i tried all my best to make him stays, but he neglected me until a friend of mine  from UK told me Great healer, who will restore my life back with his powerful healing herbal medicine. then he  sent me his email address to contact him- drimolaherbalmademedicine@gmail.com. and i quickly contacted him, and he said my condition can be solved, that he will treat the disease immediately only if i can accept trust on him and accept his terms and condition, i Agreed because i was so much in need of help by all means, so i did all he instructed me to do. And surprisingly after two weeks, He sent me a text, that i should hurry up to the hospital for a checkup, which i truly did, i confirm from my doctor that i am now ( PARKINSON NEGATIVE) my eyes filled with tears and joy, crying heavily because truly the disease deprived me of many things from my life, This is a Miracle, dr imoloa also uses his powerful herbal medicine to cure the following diseases:  lupus disease,  mouth ulcer,  mouth cancer, body pain, fever, hepatitis A.B.C.,   syphilis,  diarrhea,  HIV/AIDS,  Huntington's Disease,   back acne,  Chronic renal failure,   addison disease,  Chronic Pain,   Crohn's Disease,   Cystic Fibrosis,  Fibromyalgia,   Inflammatory Bowel Disease,  fungal nail disease, Lyme Disease, Celia disease, Lymphoma, Major Depression,  Malignant Melanoma,   Mania,  Melorheostosis,   Meniere's Disease,  Mucopolysaccharidosis , Multiple Sclerosis,  Muscular Dystrophy,  Rheumatoid Arthritis, Alzheimer's Disease, parkison disease, vaginal cancer, epilepsy,  Anxiety Disorders, Autoimmune Disease,   Back Pain,  Back Sprain,   Bipolar Disorder,  Brain Tumour,  Malignant,   Bruxism, Bulimia,  Cervical Disk Disease, cardiovascular disease, Neoplasms, chronic respiratory disease,  mental and behavioural disorder,     Cystic Fibrosis,   Hypertension, Diabetes, asthma,  Inflammatory autoimmune-mediated arthritis.  chronic kidney disease, inflammatory joint disease,  impotence,  feta alcohol spectrum,  Dysthymic Disorder,   Eczema, tuberculosis,  Chronic Fatigue Syndrome, constipation, inflammatory bowel disease, bone cancer, lung cancer. contact him on email- drimolaherbalmademedicine@gmail.com. and also on whatssap- +2347081986098